Key Points:
- Magnesium L-theanine combined with NR counteracts signs of metabolic aging, such as high blood sugar levels and excess weight.
- The magnesium L-theanine and NR combo counteracts signs of liver aging, such as inflammation and fat accumulation.
- Magnesium L-theanine combined with NR counteracts signs of gut aging, such as “leaky gut.”
Recent scientific inquiry has deepened our understanding of how persistent psychological and environmental stressors can initiate widespread physical damage, extending far beyond mood or mental health. Chronic stress is a powerful physiological disruptor that elevates stress hormones and inflammatory mediators, driving alterations that predispose us to a range of chronic conditions that usually manifest with advanced age, including type 2 diabetes, fatty liver disease, and cardiovascular disease.
The Gut-Liver Axis
Crucially, chronic stress is now recognized as a major assailant of the so-called gut-liver axis. Sustained stress compromises the intestinal barrier, leading to enhanced permeability often described as a “leaky gut”. This breach facilitates the invasion of bacterial byproducts into the bloodstream, which then travel to the liver. This cascade ultimately promotes processes that drive cellular aging, such as inflammation and oxidative stress.

Current pharmacological treatments for stress, such as antidepressants, are not ideal because they come with side effects such as gastrointestinal bleeding, weight gain, and sexual dysfunction. Moreover, antidepressants require prolonged administration before becoming effective, if effective at all. Due to these limitations, researchers are accelerating the search for safe, multi-targeted alternatives.
A Combined Intervention Ameliorates Aging
A recent study investigated the therapeutic potential of a combined intervention featuring two bioactive molecules:
- Magnesium L-Theanine (MgT) is a novel compound made by combining magnesium with L-theanine, an amino acid abundant in green tea. Magnesium is a crucial element for regulating the central nervous system and the stress response, while L-theanine contributes anti-anxiety and antioxidant properties.
- Nicotinamide Riboside (NR) is a form of vitamin B3 and a direct precursor to NAD+ (nicotinamide adenine dinucleotide). NAD+ is essential for supporting mitochondrial function, DNA repair, and overall cellular resilience. Chronic stress is known to deplete cellular NAD+ levels.
In the study, rats were exposed to random stress for 40 days, encompassing water deprivation, cold exposure, cage tilting, intermittent flashing lights, physical restraint, and social isolation. During these 40 days, one group of rats was fed MgT and NR (MgT+NR) while the other group was not. These two groups of stressed rats were compared to unstressed rats.
Metabolic Aging
The results showed that chronic stress significantly reduced body weight, which was largely mitigated by treatment with MgT+NR. Notably, the unstressed rats still weighed more than the two groups of stressed rats, suggesting MgT+NR potentially contributes to healthy weight loss. Chronic stress also elevated circulating levels of glucose, triglycerides, and the stress hormones corticosterone (the rodent version of cortisol) and ACTH (adenocorticotropic hormone). The administration of the MgT+NR effectively mitigated these imbalances, suggesting the combo counteracts metabolic aging.

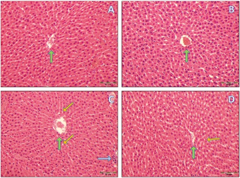
Liver Aging
Stress exposure induced clear signs of liver injury, characterized by elevations in the enzymes ALT (alanine aminotransferase) and AST (aspartate aminotransferase). Stress also induced fat accumulation, known as steatosis. The MgT+NR combination significantly attenuated the rise of these enzymes and ameliorated the visible liver steatosis. Histological examination also revealed that treatment with MgT+NR reduced liver inflammation, a key driver of liver aging.

Gut Aging
Stress severely compromised the integrity of the intestinal lining by reducing essential proteins, such as Occludin and ZO-1, which tighten the gap between intestinal wall cells. MgT+NR supplementation was found to significantly improve the levels of these tight junction proteins, suggesting a restoration of the intestinal barrier. Moreover, while reducing inflammation, treatment with MgT+NR improved the structure of the intestinal wall by increasing the length of villi, which are important for nutrient absorption. These findings suggest that MgT+NR mitigates gut aging.

Together, the findings suggest that the combined intervention of NR, magnesium, and L-theanine counteracts the cascade of metabolic and structural alterations induced by chronic stress in the gut-liver axis. By modulating NAD+ metabolism and supporting barrier function, this strategy presents a promising avenue for managing stress-related pathophysiological damage and accelerated aging.
Taking Magnesium, L-Theanine, and NAD+ to Reduce Stress-Induced Aging
Not to be confused with magnesium L-threonate, which doesn’t contain L-theanine, magnesium L-theanine chemically combines L-theanine with magnesium ions (Mg2+) through a process called chelation. A previous study in mice showed that magnesium L-theanine is superior to L-theanine alone when it comes to inducing sleep. However, the study did not compare magnesium L-theanine to magnesium alone.
With that being said, there is a lack of evidence to suggest that magnesium L-theanine is extensively superior to magnesium and L-theanine as separate compounds. Thus, it seems likely that combining L-theanine and magnesium supplements will have similar effects to magnesium L-theanine. When it comes to choosing a magnesium supplement, magnesium L-threonate may be best for reducing stress, as it is capable of crossing the blood-brain barrier.
When it comes to choosing an NAD+ precursor, NR may not be necessary, and other NAD+ precursors, such as nicotinamide or NMN (nicotinamide mononucleotide), may suffice. However, the contribution of NAD+ compared to magnesium and L-theanine in alleviating stress-induced aging remains to be studied. Still, boosting NAD+ plays an important role in gut barrier integrity, liver health, and metabolic health, potentially making it a critical component of a L-theanine, magnesium, and NAD+ precursor stack.
The dosages used in this study are over three to four times higher than the dosages recommended on most labels. For this reason, it may be a good idea to go with the recommended dosages. There have yet to be any studies testing the effects of combined L-theanine, magnesium, and NAD+ on humans, but the three compounds may potentially work synergistically to allow for lower doses. As always, consult with a healthcare provider before beginning a new supplement routine.